SERVICE
技术服务
高质量的数据和快速的周转期以支持各项药物开发、临床前研究和临床研究
一、实验方法
选取8周龄雄性SD大鼠,1%戊巴比妥钠腹腔注射麻醉大鼠(3ml/kg),备皮消毒,手术刀分别切开左侧和右侧约大鼠肋中线切口,暴露双肾,钝性分离双侧肾蒂,使用血管夹夹闭双侧肾蒂,可见肾脏由鲜红色变为暗紫色,阻断血流45min后松开血管夹,使双侧肾脏重新获得灌注。观察肾脏颜色变化,约1~2min后肾脏颜色由暗紫色渐变为鲜红色,提示肾脏恢复血流灌注,逐层缝合切口。
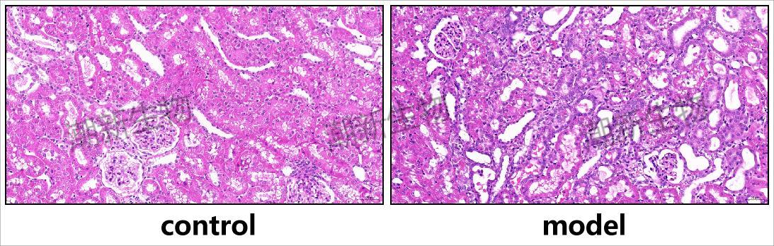
二、实验结果
HE结果显示control 组大鼠肾组织结构清楚,肾小管结构完整,管腔内无渗出及管型,细胞形态正常,排列整齐。model组肾组织中肾小管萎缩,体积减小,胞质嗜碱性增强;肾小管上皮细胞水样变性,细胞肿胀;肾小管腔内可见滴状嗜酸性物及游离的细胞。