CUSTOMER
客户中心
助力生命健康领域从基础研究到产业化的加速转化
在准备动物实验选题时,很多人有类似困扰:
“我要建肾纤维化模型,选腺嘌呤还是UUO?”
“打算研究雌激素通路干预,怎么做去势?”
“课题设计涉及子宫内膜异位症,病灶能否成像清晰?”
“既要做机制又要有疗效评价,模型能不能稳定、可复现?”
这篇文章我们用一组技术成熟的模型组合,直接解答这些问题——模型怎么造、适合回答什么问题、实验怎么安排,顺便告诉你:如果你不想花时间练手术、试剂浓度、实验节奏,潮新生物能够帮您完成这些繁琐的实验工作。
01|慢性肾衰
一、实验方法
选取6周龄雄性SD大鼠,饲喂高磷高嘌呤模型饲料6周,造模期间动物自由饮水。
二、实验结果
6周后,检测大鼠Scr(血肌酐)、BUN(尿素氮),与control组相比,model组大鼠Scr、BUN显著升高。HE结果显示control组肾脏结构完整,无炎性细胞浸润和纤维组织增生。model组肾间质纤维化并伴有炎性细胞浸润,肾小管变性、坏死。

02|肾纤维化模型
一、实验方法
1、腺嘌呤诱导
选取6周龄雄性SD大鼠,腺嘌呤灌胃(200mg/kg),每日1次,连续4周。
2、UUO(单侧输尿管结扎)
选取8周龄雄性SD大鼠,腹腔注射1%戊巴比妥钠(40mg/kg)麻醉动物,使用电动剃毛器剔除腹部毛发,用碘伏对手术区进行消毒。于腹正中切口,钝性分离皮下组织暴露左肾,沿肾蒂向肾下极方向寻找输尿管并结扎。
二、实验结果
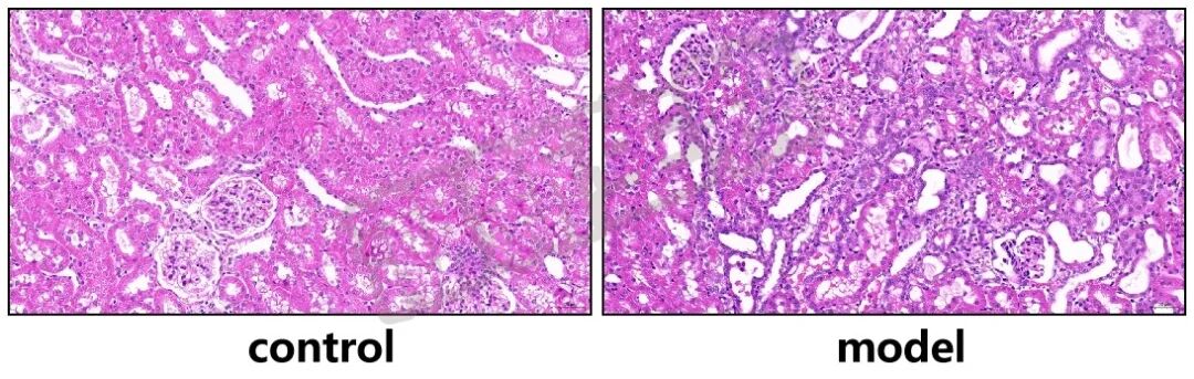
以单侧输尿管结扎诱导肾纤维化结果为例:术后4周,检测大鼠Scr(血肌酐)、BUN(尿素氮),与control组相比,model组大鼠Scr、BUN显著升高。HE结果显示control组肾小球形状规则,肾小管集合管结构清晰,间质未见炎性细胞浸润;model组肾小球及毛细血管内充血,肾小管扩张,间质炎性细胞浸润。Masson结果显示control组仅肾脏血管周围存在胶原纤维;model组可见肾间质广泛性纤维化。

03|肾纤维化模型
一、实验方法
选取8周龄雄性SD大鼠,1%戊巴比妥钠腹腔注射麻醉大鼠(3ml/kg),备皮消毒,手术刀分别切开左侧和右侧约大鼠肋中线切口,暴露双肾,钝性分离双侧肾蒂,使用血管夹夹闭双侧肾蒂,可见肾脏由鲜红色变为暗紫色,阻断血流45min后松开血管夹,使双侧肾脏重新获得灌注。观察肾脏颜色变化,约1~2min后肾脏颜色由暗紫色渐变为鲜红色,提示肾脏恢复血流灌注,逐层缝合切口。

二、实验结果
HE结果显示control 组大鼠肾组织结构清楚,肾小管结构完整,管腔内无渗出及管型,细胞形态正常,排列整齐。model组肾组织中肾小管萎缩,体积减小,胞质嗜碱性增强;肾小管上皮细胞水样变性,细胞肿胀;肾小管腔内可见滴状嗜酸性物及游离的细胞。

04|肾结石模型
一、实验方法
选取6周龄雄性SD大鼠,1%乙二醇溶液自由饮用配合2%氯化铵溶液灌胃(2mL/只),每日1次,连续4周。
二、实验结果
4周后各组大鼠肾组织HE染色后使用偏振光显微镜观察,结果显示control组大鼠肾脏中未见任何结晶,model组肾脏中结晶广泛分布,连接成片。
05|前列腺增生
一、实验方法
选取8周龄雄性SD大鼠,将25mg/mL丙酸睾酮注射液用大豆油稀释成5mg/mL,皮下注射丙酸睾酮(5mg/kg),每日1次,连续28天。
二、实验结果
给药结束1周后取材前列腺并称重,结果显示:与control组相比,model组大鼠前列腺重量显著增加。HE结果显示:control组大鼠前列腺腺体排列有序,腺腔无扩张,腔内表面光滑。model组腺体排列紊乱,上皮增生明显,呈乳头状,腺腔扩张。

06|去势术
一、实验方法
1、雄鼠去势
选取8周龄雄性SD大鼠,1%戊巴比妥钠腹腔注射麻醉大鼠(3ml/kg),手术部位常规消毒,于阴囊正中做长约1cm纵行切口,钝性分离皮下组织,剪开睾丸表面包膜,沿睾丸向上分离并结扎精索,剪去结扎部位以下的精索和睾丸,缝合阴囊皮肤。
2、雌鼠去势
选取8周龄雌性SD大鼠,1%戊巴比妥钠腹腔注射麻醉大鼠(3ml/kg),手术部位常规消毒,于腹部正中做长约2cm纵行切口,找到双侧卵巢并对双侧输卵管进行结扎,然后切除双侧卵巢,逐层缝合关腹。
07|子宫内膜异位症
一、实验方法
选取8周龄雌性C57BL/6小鼠,造模前1周,每只供体小鼠皮下注射雌二醇(200μg/kg),1周后对受体小鼠进行阴道细胞学检查,使用处于发情期的受体小鼠进行子宫碎片移植。脱颈处死供体小鼠,迅速开腹取子宫并将其剪成大小约3mm×3mm的碎片备用。1%戊巴比妥钠(40mg/kg)腹腔注射麻醉受体小鼠,剔除腹部毛发,手术部位常规消毒,于腹部正中做长约1.5 cm纵行切口,将备好的子宫碎片缝合在腹壁上,术后隔天皮下注射雌二醇(200μg/kg)。
二、实验结果
术后4周开腹查看可见大小不等的异位病灶,呈圆形或椭圆形,淡黄透亮的囊泡样。
