CUSTOMER
客户中心
助力生命健康领域从基础研究到产业化的加速转化
做病理机制,离不开可靠模型;做药物干预和方案优化,同样要靠稳定、可复现的模型支撑。现实情况是——造模条件细碎、周期拉得很长,病理表型还容易“翻车”,数据一波动,整套实验就得重来。
潮新生物科研团队这几年在肝脏疾病、功能性胃肠病、炎症性肠病等方向持续累积,搭了一套比较完整的标准化动物模型库,并按课题实际需求,把流程压缩成了“方案设计—模型建立—检测评估—数据整理”的一体化服务链,尽量把重复、耗时、容易踩坑的部分从老师这边挪走。
下面用几类真实模型为例,给你一个直观的模型谱系和能拿到什么样的数据结果。
肝脏疾病模型
潮新生物常规开展的小鼠70%肝切除模型,以KM小鼠为基础,通过中叶+左叶切除建立稳定的肝部分切除模型,适合做肝再生动力学、术后并发症干预等课题。
术式流程包括:选取10周龄雄性KM小鼠,腹腔注射戊巴比妥钠(40mg/kg)麻醉动物,电动剃毛器剔除腹部毛发,手术部位常规消毒,于腹部正中做长约2 cm纵行切口,钝性分离肝中叶和肝左叶暴露肝蒂,使用缝合线结扎肝蒂后切除肝中叶及左叶,逐层缝合关闭腹腔。
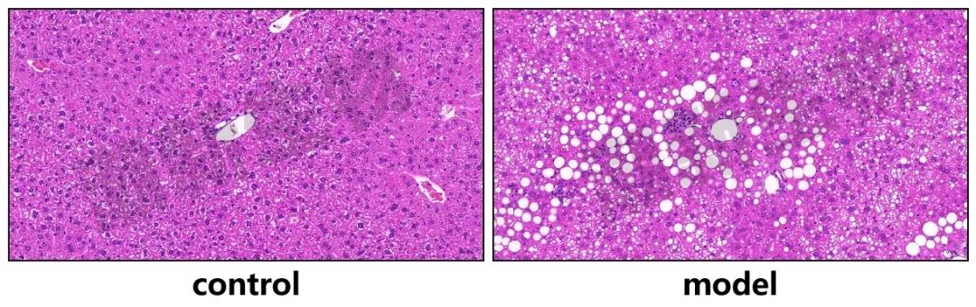
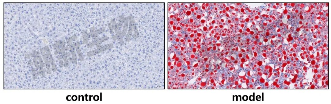
针对NAFLD方向,团队采用C57BL/6J小鼠+蛋氨酸限制胆碱缺乏高脂饲料(MCD,高脂供能)方案,4周即可形成较为典型的脂肪肝表型。

HE可见广泛脂肪变性、大小不一的脂滴空泡、气球样变;
小叶内散在炎性细胞灶及色素沉积,为炎症反应及进展研究提供基础。

油红O染色能直观呈现脂滴负荷;

适合用于筛选减脂、抗炎药物或联用方案,对转录组、脂质组等组学数据也比较友好。
选取8周龄雄性KM小鼠,0.3%戊巴比妥钠腹腔注射麻醉小鼠(30mg/kg),将麻醉好的小鼠平躺于手术台上胶带固定四肢,使用电动剃毛器剔除腹部毛发,用碘伏对手术区进行消毒。于腹部正中切口约1cm,打开腹腔,在显微镜下小心分离出肝脏供血的门静脉和肝动脉,用无创血管夹夹闭门静脉和肝动脉,约30S后肉眼可见缺血肝叶明显变白,说明血流阻断成功。持续缺血60min后,取出血管夹,恢复缺血肝叶血流,逐层缝合肌肉和皮肤,关闭腹腔。

实验结果:
24小时后检测可见:血清AST、ALT显著升高;

(1)四氯化碳(CCl4)诱导
选取10周龄雄性C57BL/6小鼠,使用40%四氯化碳橄榄油溶液灌胃(5μL/g),每周3次,连续6~8周。
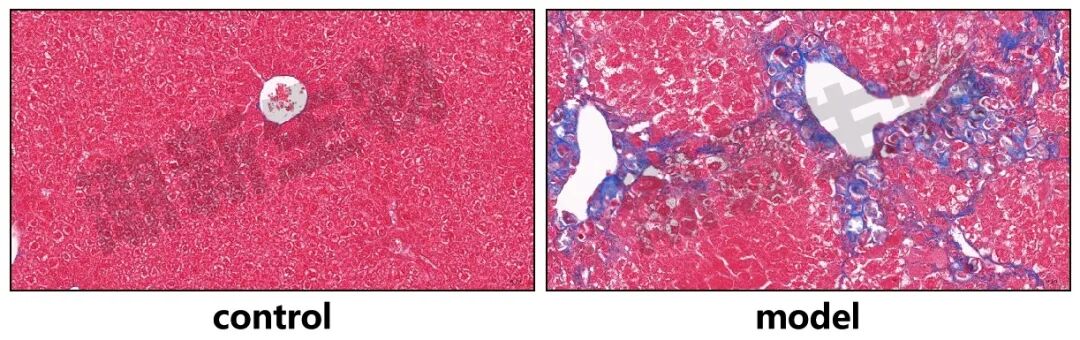
(2)硫代乙酰胺(TAA)诱导
选取8周龄雄性C57BL/6小鼠,使用硫代乙酰胺腹腔注射(150mg/kg),每周3次,连续8周。
实验结果:
硫代乙酰胺(TAA)诱导8周后取材,肝脏Masson染色结果。

Masson可见大片蓝色胶原沉积,提示大量纤维化形成;
可配套Sirius Red、α-SMA免疫组化、炎性因子、羟脯氨酸含量等指标;
适合做“抗纤维化药物”、“肝星状细胞活化”、“炎症-纤维化-早期肝硬化连续谱”等方向。
功能性胃肠疾病模型
很多课题不一定需要“器质性重度病变”,而是针对更接近临床的功能性症状,比如便秘、腹泻、消化不良等。潮新生物这部分模型以“动力学、排空、排便指标”为核心,方便和临床评价体系对接。
目前常用两条路线:
洛哌丁胺灌胃,连续14天,抑制肠蠕动;
复方地芬诺酯灌胃,连续28天,形成更持久的动力减弱状态。
可配套检测记录:
首次排便时间、粪便含水量;
炭末;
推进率/玻璃珠排出时间;
结合肠道;
神经、肠屏障相关指标,扩展到“脑-肠轴”方向。
(1)硫酸镁诱导
选取6周龄雄性BALB/c小鼠,使用硫酸镁灌胃(2g/kg),每日1次,连续7天。
(2)番泻叶诱导
选取6周龄雄性BALB/c小鼠,使用番泻叶灌胃(生药浓度1g/mL),给药容量0.3mL/只,每日1次,连续7天。
可按课题需求记录:
排便次数、粪便评分;
体重变化、电解质紊乱情况;
结合肠屏障、炎症指标,做“腹泻—屏障受损—菌群失衡”链路研究。
(1)食醋诱导
选取8周龄雄性BALB/c小鼠,使用食醋灌胃(0.2mL/只),每日1次,连续14天。
(2)碘乙酰胺诱导
选取8周龄雄性BALB/c小鼠,使用0.1%碘乙酰胺灌胃(0.2mL/只),每日1次,连续14天。
实验结果:

适合做促动力药、合剂、中药复方等干预评价。
炎症性肠病与胃黏膜病变
急性结肠炎:选取8周龄雄性C57BL/6小鼠,配制2.5% DSS(葡聚糖硫酸钠)溶液自由饮用,连续7天。2.5% DSS溶液需隔天配制并更换。
慢性结肠炎:选取8周龄雄性C57BL/6小鼠,配制2.5% DSS(葡聚糖硫酸钠)溶液分别于实验第1~7天、21~28天、42~49天三个周期内自由饮用。2.5% DSS溶液需隔天配制并更换。
注:造模需使用高分子量DSS(36000~50000)。
表型包括:
体重下降、腹泻、便血;
结肠明显缩短;
HE可见黏膜上皮脱落、杯状细胞减少、大量炎性细胞浸润。
适合做抗炎药物、屏障修复、微生态调节等多种干预设计。
克罗恩病模型以TNBS+乙醇直肠灌注为核心,按周重复给药6周。选取8周龄雄性SD大鼠,异氟烷麻醉动物,将5mg TNBS(三硝基苯磺酸)溶于0.2mL 50%乙醇中,然后使用导管将其注入距肛门约4cm结肠内,注射完将大鼠倒置1min,每周1次,持续6周。
实验结果:
结肠长度明显缩短;
HE提示黏膜严重损伤、隐窝结构破坏、固有层炎性细胞大量浸润;
更接近“节段性、透壁性”损伤特点,可用于仿真克罗恩病病程及药物筛选。
(1)方法一
选取6周龄雄性Wistar大鼠,每日MNNG(甲基硝基亚硝基胍)溶液(100ug/mL)自由饮用,0.03%雷尼替丁饲料自由采食,每隔7天禁食24h,每次禁食后使用50%乙醇溶液灌胃(1mL/100g),造模时间共20周。
(2)方法二
选取6周龄雄性Wistar大鼠,每日MNNG(甲基硝基亚硝基胍)溶液(120ug/mL)自由饮用,0.04%雷尼替丁饲料自由采食,造模时间共16周。
实验结果:
HE染色对照组腺体丰富、排列规整,无炎性浸润;
模型组腺体数目减少、排列紊乱、大小不一,腺体间隙增宽,炎性细胞明显浸润。
适合做“炎症—萎缩—肠化生—肿瘤前病变”连续谱研究、早期干预及中药/营养配方评价。
怎么接入这些模型?
基于以上模型库,潮新生物在实际合作中一般会这样展开:
根据课题目标和时间线,选定或微调造模方案(急性/慢性、功能性/器质性);
按标准SOP完成建模、评分、病理与生化检测;
输出原始数据+统计分析+配图(病理图、曲线图、柱形图等),方便直接进入投稿或标书。
如果你现在手上的课题正卡在“模型不好做、数据不稳定、周期算不过来”这些点,可以把核心问题拆一下:
到底是要病理表型稳定?还是要更贴近临床评分?还是要更适合组学/机制解析?这些在模型层面都可以调节。
肉眼可见肝脏体积变化、颜色变浅、质地变脆;