CUSTOMER
客户中心
助力生命健康领域从基础研究到产业化的加速转化
(1)复制方法
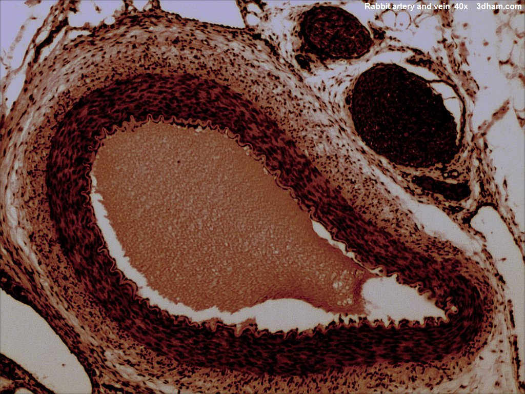
实验兔常规麻醉后固定。取一根聚乙烯管(直径0.5~0.7mm),从右侧股动脉插入到达主动脉,4h后,另一根聚乙烯管插入左侧颈动脉,并以温生理盐水(37℃)在10min内灌洗血液,共5次,每次20ml。同时切开左股静脉放血,5~10min后,用4%多聚甲醛再次从左侧颈动脉注入,共3次,每次50ml,5min内注射完毕。24h后打开胸腹腔,取主动脉标本分成数段,分别用10%甲醛和2.5%戊二醛固定(在4℃下固定2h),并同时加入0.1mol/L磷酸缓冲液(pH7.4),取出标本按常规方法制片,在光镜和透射电子显微镜下观察。
(2)模型特点
临床心导管插管术采用的导管,管径和血管管径相差较大,不易擦伤血管内皮,同时心导管术使用的导管外周涂有抗凝剂或用抗凝剂预先浸泡,因而可防止在插管时血栓形成。近年来常用的方法一般都采用111In或51Cr标记的血小板通过血管测定损伤局部的放射强度,以此推测血栓形成的情况,不能进行肉眼与镜下的病理观察,也不能同时对其他指标进行测定,因而带来很大的局限性。而该方法通过插入导管引起血管壁内皮的持续性损伤,成功地建立了兔主动脉的血栓模型,并且进行了与凝血因子、血小板以及血管内皮细胞有关的试验,并对其病理方面进行综合研究。
(3)比较医学
血管内皮细胞丢失和内皮下结构暴露可导致血栓形成。内皮细胞可被血流的物理因素引起损伤。本实验插入聚乙烯管到达主动脉,所用管径大小接近血管管径,从而增加了血管壁的接触面和两者之间的摩擦力,导致血流混乱和停滞,造成广泛性内皮损伤和内皮下暴露,以及血管内凝血酶释放和血纤维蛋白黏附血小板而形成动脉血栓。血栓形成的体外形态学研究发现血纤维蛋白很少呈现于内皮下层,也很少有血小板黏附,而在连续受损和再度损伤的血管壁的研究中,血纤维蛋白可呈现于内皮下层。本实验则可清楚看到血纤维蛋白环绕内皮下层及血小板周边,可见血小板黏附到内皮下层的胶原纤维上,但未见黏附到无定形基质上,揭示体外和体内血栓形成的研究具有一定的差别。

兔动脉与静脉40×原图